可约可空降二维码,全国空降快餐qq,全国空降可约的客服

让无数医生犯难的「肺水肿」,诊断其实就看这两点

2020/5/5 21:24:13来源:呼吸时间作者:内科医生阿凯
某天值班,师妹正翻看一位老年患者的 CT 片。不一会儿,师妹皱着眉头说:

「这个患者突发呼吸困难, CT 表现是肺水肿,可这个肺水肿是心源性还是非心源性?判断起来有点难啊?!?/span>
我一听来了兴趣,瞟了眼病例后说道:

「临床遇到以急性呼吸困难,CT 提示肺水肿为主要表现的病例,通常依据 4 点判断是否为心源性:


有无基础心脏病史、心脏体征、肺部啰音性质、BNP >500 pg/mL。


师妹听了直摇头:「师兄你看,这个病人是个『四不像』?!?/span>
简要病史如下:
青年男性,因确诊淋巴瘤入院化疗,平素体健?;坪蟮?5 天突发严重呼吸困难和发热,立即复查多项指标。
肾功能较入院时明显恶化(肌酐 400 多),感染指标都很高(白细胞 2 万 5,PCT 30 多,BNP 2231),可患者目前合并肾功能衰竭和严重感染,BNP 对心衰的诊断意义也大打折扣。
确实,很多时候单从病史、体征很难判断患者肺水肿是否为心源性,此时就要从肺 CT 中寻找鉴别诊断的蛛丝马迹。

心源性、非心源性,2 点来鉴别

先从这 2 类肺水肿的病理生理机制说起。

  • 心源性肺水肿:当心力衰竭发生时,由于肺动脉压力升高导致肺毛细血管静水压升高,继而导致肺组织的渗出增多,形成肺淤血甚至肺水肿。
  • 非心源性肺水肿:由各类损伤因素直接损伤毛细血管壁导致肺毛细血管通透性增加所致。

由此可以归纳出,两种肺水肿在 CT 上的鉴别要点有 2 个细节:
(1)是否合并较为典型的肺动脉压力升高的征象
(2)是否有由此引发的肺淤血相关表现,典型表现如下:
  • 肺纹理重新分布,上肺纹理和肺外带增多且较模糊;


  • 支气管血管束增粗(支气管血管周围水肿);


  • 小叶间隔增厚;


  • 中心比外周更明显,即蝶形影或者蝙蝠翼样表现;


  • 基础心脏疾病表现,如心脏扩大、冠脉钙化。


师妹听了,一脸懵懂:「师兄能不能结合着片子讲一下,更形象?!?/span>
手把手教你看懂「肺水肿」

1. 肺纹理重新分布
QQ浏览器截图20200505212350.png
图 1 心源性肺水肿典型表现:肺纹理重新分布
图 1A 为正常胸片,B 为一心衰患者胸片。图 1B 为典型间质性肺水肿表现:肺上野和外带肺纹理显著增多,并可见 Kerley 线(细白箭指示)。
图 1D 患者为急性左心衰患者,与治疗后症状缓解时相比(图 1C),其近胸膜处肺纹理显著增多,左肺可见弥漫性渗出,并可见双侧胸腔积液。
在 X 片还是 CT 上,我们都可以看到心力衰竭引起肺静脉压力增高典型表现。
(1)肺纹理重新分布
生理状态下,由于重力原因,中下肺静脉中的血液会明显多于上肺,影像表现为:肺纹理以中下肺明显,上肺较为稀疏。
心衰发生时,由于肺动脉压力升高,肺淤血加重,肺纹理会重新分布,表现为:上中下肺纹理分布无明显差异,上肺纹理较无心衰时明显增多。
(2)上肺、肺外带纹理增多且较模糊
由于肺静脉充盈更明显,本来肺纹理显示不清楚的肺外带纹理也会增多。而且,由于肺毛细血管静水压增高,液体向肺泡渗出增加,肺纹理也会变得模糊。
2. 支气管血管束增粗(支气管血管周围水肿)
正常肺血管和支气管边缘光滑锐利,心衰发生后,由于支气管壁及其周围淤血水肿。
故在 CT 上可表现为支气管壁增厚,支气管血管束与相邻非组织的界面变得不清楚,形成所谓界面征或袖套征。
QQ浏览器截图20200505212514.png
图 2  心源性肺水肿典型表现:袖套征
图 2A1 为正常肺组织 CT 成像,图 2A2 所示为同一患者发生心力衰竭后复查,同一部位支气管血管束明显增粗(白细箭),同侧可见少量胸腔积液(黑曲箭)。
图 2B、C 可见更加明显的支气管壁增粗,形成明显的袖套样改变(图 2B 白细箭,图 2C 黑粗箭),图 2C 中可见明显的小叶间隔增宽。
3. 小叶间隔和叶间裂增厚
QQ浏览器截图20200505212553.png
图 3  心源性肺水肿典型表现:小叶间隔
先简单介绍一下「肺小叶」。
影像学上所说的肺小叶是多指次级肺小叶(图 3A),是肺结构的最小独立单位,以结缔组织间隔为边缘,由小的小叶细支气管和肺动脉支配,是解释 HRCT 表现的关键解剖结构。图 3B1 中白箭所指即为小叶间隔。
QQ浏览器截图20200505212628.png
图 4  心源性肺水肿典型表现:小叶间隔增厚
心衰发生后,由于构成小叶间隔的间隔静脉和淋巴管回流不畅,小叶间隔厚度增加(对比同一层面,图 3B2 中的小叶间隔明显增厚),这也就是胸片 kerleyB 线的形成原理(图 4A)。图 4B/C/D 所示即是 CT 图像上心衰引起的小叶间隔增厚的典型征象。
同理,心衰发生后,患者的 CT 表现上也??沙鱿中啬ひ都淞训脑龊窈湍:?/span>(图 5)。
QQ浏览器截图20200505212702.png
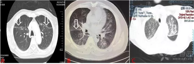
图 5 心源性肺水肿典型表现:胸膜叶间裂的增厚和模糊
图 5A、B、C 均为心力衰竭患者的胸部 CT 显像,均可见叶间裂明显增粗、模糊。
4. 蝶形影/蝙蝠翼样表现
肺水肿在 CT 上的典型表现为弥漫性、边界不清的磨玻璃样表现。
(1)心源性肺水肿发生时,在同一水平面上越接近左心房,肺血管内静水压越高,故而肺水肿在心脏周围更明显,即中心 > 外周,形成 X 片上大家所熟悉的蝶形影样表现,而在 CT 上这一征象也被有的教科书称之为蝙蝠翼样改变。
(2)非心源性肺水肿的发生:主要由于肺泡膜-毛细血管壁的直接损伤所致,故而越接近外周,损伤越多越严重,肺泡渗出也越明显,故非心源性肺水肿外周 > 中心。
QQ浏览器截图20200505212739.png
图 6 心源性肺水肿典型表现:蝶形影/蝙蝠翼样表现
图 6A 显示的是肺水肿患者的普通胸片,可见双肺纹理明显增多,以肺门为中心的弥漫性渗出影。近胸膜处不明显,即蝶形渗出,中心大于外周。
图 6B 为肺水肿患者的 CT 显像,同样表现为中心大于外周的弥漫渗出,称之为蝙蝠翼征。
图 6C 可见双肺弥漫广泛渗出,但近胸膜处渗出影明显多于肺门周围,即外周大于中心,该片为过量使用可卡因导致急性肺水肿。
5. 基础心脏疾病表现
比如心脏扩大、冠脉钙化等。这个就略过吧,相信你的基本功!
小结
面对一个 CT 提示肺水肿的患者,如能发现上述 5 点表现,则倾向于心源性肺水肿。
当然,心源性肺水肿的特点并不仅仅限于该五点,有文献报告,纵膈淋巴结轻度增大、纵膈脂肪减少 60% 以上等也支持心源性肺水肿的 CT 诊断。
笔者毕竟不是专业搞影像的,所以这方面你还可以再请教一下影像科前辈。